- HOME>
- 矯正歯科
虫歯や歯周病を徹底的に管理しながら行う矯正歯科治療
矯正歯科について

矯正歯科(歯列矯正)は、最近では皆さんにも身近な治療となってきています。
歯並びを正しく改善する為の治療ですが、この治療は見た目の改善だけではなくものを食べる運動(咀嚼)や発音の改善、かみ合わせの改善による頭痛や腰痛の改善等も期待できる治療です。
今までは、ギラギラと光る金属の金具が嫌で治療を受けなかったり、成人のため時期的に効果的な治療が難しいケースもありましたが、最近の技術の進歩により目立たない矯正装置の開発や、成人矯正、部分矯正等幅広く治療が行えるようになりました。
- 当院で矯正治療をおこなう強み
-
当院では矯正歯科専門医と共に虫歯や歯周病を徹底的に管理しながら治療を進めていくことができます。
治療途中で歯周病が進んでしまったら、きれいな歯並びが元に戻りやすくなってしまいます。そうならないためにも矯正歯科専門医が矯正治療を徹底管理します。
また、お子さんの矯正治療は成長期に合わせなるべく期間がかからないようにしています。お子さんの矯正期間は10ヶ月から2年くらいで終了(ケースによります)する方が多く、大人の矯正より期間が短いことが特徴です。
インビザライン・マウスピース矯正治療をしている方は、ご自身で取り外しもでき、目立ちにくいため大変好評です。
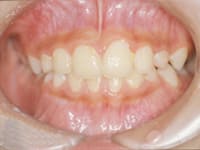
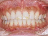
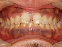
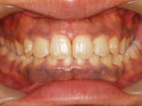
当院の矯正治療の症例紹介
- 歯並びが悪いと起こりうる問題点
-
- 歯列がでこぽこで、食べもののカスがたまりやすく、歯みがきもむずかしいので、むし歯や歯槽膿漏になりやすい環境になります。上下ともデコボコですと当然歯磨きもしにくいので虫歯になりやすいですね。
- 発音がうまくできないので、会話がしにくい場合があります。歯がなくなったり歯列が乱れて、発音しにくい、楽器が吹けなくなったなどと大人の患者さんが訴えられることがよくあります。
- うまくかめない、かみきることができにくい、かむ箇所が少ないなど、食事が不自由になります。その結果、成長期ではあごと口のまわりの筋肉の発育が不十分になりやすい、という悪循環になりがちです。前歯からわきの歯までかみあわせが悪く開いています。 奥歯の一点のみでかんでいますので、よくかめません!
- 歯並びと口元は顔のポイントです。特に前歯の部分の歯ならびの乱れは、会話の時、笑った時に視線を集めます。また、反対咬合(かみあわせが逆)や上顎前突(出っ歯)では、顔貌にも影響します。歯が出っ張っているとよく噛めません。
- 噛み合わせが悪いと起こりうる問題点
- ふつうに食物を口の中でかんでも、細かくかみ砕くことができず、消化に大切な唾液とよく混ざらないまま飲み込むことになり胃腸に負担をかけてしまいます。
- 均等に噛むことができないと起こりうる問題点
- 筋肉や骨格にまでアンバランスが生じて 顎の成長や、顔の形にも影響がでたり、全身の健康や成長発育にも影響を及ぼします。そのほか、本人自身が口もとを気にしてコンプレックスをもったり、発音がしにくい と感じることもあります。
インビザライン・マウスピース矯正とは?

当院では目立たない矯正治療の1つとして、マウスピース矯正の「インビザライン・システム」を導入しております。
インビザラインは、患者様の不正咬合を治療するにあたり、ひとりひとりの治療計画にあったマウスピースを作成し、歯並びを治していく矯正治療です。
- 適応する症例
-
- 叢生・乱ぐい歯
- すきっ歯
- 出っ歯
- 矯正治療後の後戻り防止
小児矯正とは
乳歯と永久歯が混在している時期の矯正治療(歯並び治療)です。
成長を利用しますので、大切な永久歯を抜かずに治療できる可能性が高まるとともに、顎の発育を適切に誘導します。
乳歯や永久歯の混じった歯並びの時期は(7~12歳くらい)、あごの成長が旺盛な時期でもあります。
小児矯正とは、この時期に将来の永久歯の並びが悪くなると診断された場合、あごの成長を抑制したり促したりして歯並びや噛みあわせを整える矯正治療をいいます。
7歳、10歳、12歳が小児矯正のポイント時期です。
大人の矯正と違い、1本1本歯につけないでも内側からワイヤーをつけたり期間は10ヶ月から2年程で大人よりも短期間で終わることが多いです。まずはご相談ください。
可能な限り歯を抜かない床矯正

歯並びが悪くなる原因に一つとして顎が小さいことがあげられます。
顎が小さいと歯がきちんと生えるスペースがなくなり、歯並びが悪くなったり、八重歯になったりします。
普通の矯正治療ではこの原因に対するアプローチがなされず、抜歯などの処理で対応してきました。つまり対処療法が行われてきたわけです。
それに対して、床矯正とは従来の矯正治療では治す事のできなかった「顎の拡大」をすることにより、根本的な原因を治す原因療法になります。
このことにより、抜歯の可能性が限りなく低くなりました。
床矯正のメリット・デメリット
- 床矯正のメリット
-
- 歯を抜歯せずに矯正できる。
- 矯正装置の着脱ができる。
- 従来の矯正に比べ、低価格で治療できる。
- 床矯正のデメリット
-
- 装着時間を自分で管理しなければならない。
- 発音しにくくなる。
- 違和感や異物感が大きい。








