- HOME>
- 歯のクリーニング
虫歯や歯周病を未然に防ぐ
予防歯科について

予防歯科は、虫歯を予防する為の各種療法や検査を総称として呼びますが最近、歯科医院の中でもこの「予防歯科」と言う概念を再認識する流れがあります。
歯科医院は「虫歯を治す」場所でもありますが、「虫歯を未然に防ぐ」場所でもあります。
残念なことに現在の歯科医療では虫歯になってしまった部分を完全に元通りに治す事はできません。患者さんにとって一番幸せなことは「いつまでも自分の歯で噛める」事だと思います。その為にも、「虫歯にならない為に歯科医院へ行く」と言う最良の付き合いを患者さん、歯科医院が二人三脚で実践する必要があります。
予防歯科って?
予防歯科というと、う蝕や歯周病などの病気の発生予防だけが目的だと考えられがちですが、最近の予防歯科は、単に病気にならないようにするというだけでなく、病気の進行に応じた処置も含め、全体的に健康度を増進するということが目的となっています。つまり、病気の各段階から健康レベルに戻そうとするすべての行為を指します。
これまでの歯科臨床では、歯科的治療のみを目的とし、修復で健康を取り戻そうとする傾向が強く、そのため、治療での技術的及び材料面での向上が重視されました。しかし、歯科臨床のなかでも、修復した部位の疾患の再発や、その他、口腔内の諸問題の予防とコントロールの必要性が注目されるようになってきています。
このことは、いろいろな研究により歯科疾患の予防手段が臨床応用されるようになり、予防を基盤とした歯科臨床が日常の疾患治療を行う場合に非常に有効であることが認識されてきたからです。
PMTC・プロフェッショナルクリーニング

PMTCとはプロフェッショナルメディカルトゥースクリーニングのこと、平たく言えば、歯科医院で行う歯の掃除です。
なぜ、予防にこのようなオフィスケアが必要なのかというと、歯と歯の間など虫歯や歯周病になりやすいところは、歯ブラシによるブラッシングだけでは十分に汚れを落とすことができないからです。また、歯質の強化や再石灰化、歯肉の活性化も、ご自分ではオフィスほど十分に出来ないからです。
そこで、普段のブラッシングなども考慮し、患者様一人ひとりに合った専門的なクリーニングを行います。そして、お口の中を歯垢などが再付着しにくい環境に整えるのです。
お口の状況に合わせて歯石や汚れを取り逃がさないクリーニング
当院では、患者様のお口の状況に合わせた歯石除去、クリーニングシステムを導入しています。
- 口腔状況に合わせた3つの機械をご用意
-
- 振動の少ないスケーラー
- 超音波スケーラー
- サブソニック振動を利用したクリーニングシステム
これらの機械を使用し患者様の歯石除去・クリーニングをしていきますが、これらの機械を使用しても取り切れない歯石などは、当院の経験豊富な歯科衛生士が手作業で徹底的に取り逃しがないようにお口の掃除をします。
歯肉の中にたまっている見えない歯石を取って歯周病を予防
歯ぐきの中に付いている見えない歯石があることをご存知ですか?
この歯石をそのままにしておけば歯周病は進行し歯ぐきも引き締まっていきません。
当院では経験豊富な衛生士がなるべく痛くないように歯石を取ります。

プロによるクリーニングで歯を白くキレイに
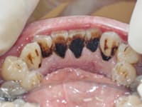
タバコのヤニやコーヒー、お茶などが原因で歯に着色がついてしまってお悩みの方が最近多くご来院されます。
このような着色はエアフローとPMTCでキレイに落とせることはご存知ですか?
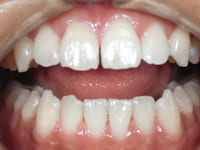
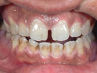
下の3つの写真は実際に当院でおこなった「エアフロー+PMTC」ケースです。
「エアフロー+PMTC」は歯科医院でしかできないプロによるクリーニングです。また、エアフロー+PMTCはキレイにするだけではなく虫歯や歯周病の予防にもなるのです。
あなたも「エアフロー+PMTC」でツルツルでキレイな歯を手に入れてみませんか?

写真はアナウンサーの方のクリーニング・PMTCの写真です。定期的にクリーニングに来院されます。
PMTC後です。着色がきれいにとれ歯がツルツルになります。しっかりメインテナンスをすることで白く綺麗な歯を維持できます。






